Alzhéimer
| Alzhéimer | Bienvenido a Departamento de Salud |
Presentación

Alzheimer (EA) es la forma más común de demencia entre las personas mayores. La demencia es un trastorno cerebral que afecta gravemente la capacidad de una persona de llevar a cabo sus actividades cotidianas.[1]
WikicharliE Patrimonio de Chile
La EA comienza lentamente. Primero afecta las partes del cerebro que controlan el pensamiento, la memoria y el lenguaje. Las personas con EA pueden tener dificultades para recordar cosas que ocurrieron recientemente o los nombres de personas que conocen. Un problema relacionado, el deterioro cognitivo leve, causa más problemas de memoria que los normales en personas de la misma edad. Muchos, pero no toda la gente con deterioro cognitivo leve, desarrollarán Alzheimer. Con el tiempo, en el Alzheimer, los síntomas empeoran. Las personas pueden no reconocer a sus familiares o tener dificultades para hablar, leer o escribir. Pueden olvidar cómo cepillarse los dientes o peinarse el cabello. Más adelante, pueden volverse ansiosos o agresivos o deambular lejos de su casa. Finalmente, necesitan cuidados totales. Esto puede ser muy estresante para los familiares que deben encargarse de sus cuidados.
La EA suele comenzar después de los 60 años. El riesgo aumenta a medida que la persona envejece. El riesgo es mayor si hay personas en la familia que tuvieron la enfermedad.
Ningún tratamiento puede detener la enfermedad. Sin embargo, algunos fármacos pueden ayudar a impedir por un tiempo limitado que los síntomas empeoren.
Técnica para predecir el Alzheimer
Básicamente, el análisis detecta biomarcadores que indican un deterioro cognitivo preclínico. Lo cual quiere decir que la prueba puede predecir que un paciente tendrá Alzheimer dentro de tres años a partir de la fecha en que se realiza. Tal examen podría darle una ventaja invaluable a los investigadores y médicos.
En pocas palabras, los biomarcadores son sustancias que se pueden usar como indicadores de un estado biológico concreto, en este caso la próxima aparición de Alzheimer u otros padecimientos que provocan disminución cognitiva. En la prueba desarrollada por los investigadores de Georgetown se identificaron 10 sustancias grasas en la sangre que predicen de manera efectiva la próxima aparición del Alzheimer.
El test hasta el momento se encuentra validado y promete contar con 90% de efectividad. Se espera que al cabo de dos años podrá ser usado en estudios clínicos. Según el Dr. Howard J. Federoff, vicepresidente del Centro Médico de la Universidad de Georgetown:
“Uno de los problemas con las pruebas hasta ahora, es que se concentran en un estado de evaluación en el que el paciente ya tienen la enfermedad. Ese podría ser el estado incorrecto”
A nivel mundial, el Alzheimer es una enfermedad que ha ido escalando en la medida en que un mayor número de personas llegan a la edad adulta. Actualmente 35 millones de pacientes sufren esta enfermedad, pero se espera que en 20 años esa cifra se duplique y alcance los 115.4 millones para el 2050. En América Latina la mayoría de los países no cuentan con un estudio confiable y estándar al respecto, y según declaró recientemente la doctora Yuri Takeuchi Tan de la Universidad de Cali:
“Los gobiernos deben entender que la enfermedad de Alzheimer, es un problema grande y cada día aumenta porque la población en nuestros países está envejeciendo.”
Al momento no existe una cura ni un tratamiento efectivo para este padecimiento, pero la aparición de este examen podría cambiar las cosas en el corto plazo. Con una anticipación de tres años, médicos y familiares pueden crear una estrategia más efectiva para los pacientes; e investigadores tienen todo un periodo asintomático para estudiar el desarrollo de esta enfermedad.
Tratamiento complementario
Tan o más importante que los fármacos, es el tratamiento de otros aspectos de la enfermedad.
- En primer lugar, es importante que el paciente siga teniendo, a pesar de sus dificultades cognitivas, alguna ocupación. Si tiene alguna afición, es importante que la mantenga el mayor tiempo posible. El paciente con Alzheimer suele abandonar sus aficiones, porque tiene dificultades para llevarlas a cabo o porque los resultados de la misma son menos satisfactorios y pierde la motivación. Por ello hay que procurar buscar maneras de simplificar o adaptar esa afición a su capacidad del momento, tanto si es una actividad mental, como hacer sopas de letras, como si es una actividad manual como la jardinería.
Para estimular las funciones mentales del paciente es necesario que realice a diario alguna actividad cognitiva. La neuroplasticidad es la capacidad del cerebro de establecer nuevas ramificaciones y conexiones entre neuronas cuando es estimulado. Los estudios demuestran que, gracias a ella, el entrenamiento mental active las áreas especializadas del cerebro e implica a otros circuitos que antes del entrenamiento no intervenían en una función cerebral concreta. Para el entrenamiento cognitivo existen terapeutas especializados que trabajan al paciente individualmente o en grupo, mediante diferentes ejercicios.
- En segundo lugar, es necesario que el paciente realice ejercicio físico. El ejercicio regular, además de mejorar las condiciones físicas, está demostrado que ejerce un efecto beneficioso en la capacidad cognitiva.
Nutrición
Otro aspecto importante es la nutrición. La edad avanzada, por un lado, y la enfermedad, por otro, hacen que el apetito se vuelva más selectivo y que se produzcan carencias en la alimentación. Es importante asegurar que el paciente ingiere los nutrientes necesarios, adaptando la dieta a sus gustos y necesidades.
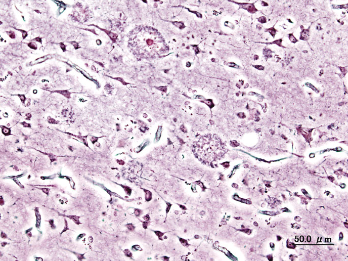
Placa senil

Las placas seniles son depósitos extracelulares de beta-amiloide en la sustancia gris del cerebro y que se asocian con la degeneración de las estructuras neuronales, así como una abundancia en microglía y de astrocitos. Un número elevado de estas placas amiloides y ovillos de fibrina son elementos característicos de la enfermedad de Alzheimer,[2] aunque la correlación entre la densidad de placas de amiloide y la severidad de la enfermedad es pobre.[3]
Características

Las placas seniles tienen variedad de tamaño y forma, pero por lo general, son de aproximadamente 50 µm. Los polipéptidos de beta-amiloide tienden a conglomerarse y se cree que son neurotóxicos.[4] Un 10% de las personas mayores de 60 años tienen placas seniles y un 60% de la población mayores de 80 años, por lo que un número de estos puede deberse al proceso fisiológico de la vejez
Problemas de comportamiento y de sueño en casos de demencia
Las personas con demencia a menudo tienen ciertos problemas cuando oscurece al final del día y en la noche. Este problema se denomina agitación vesperal o síndrome vespertino. Los problemas que empeoran abarcan:
- Aumento de la confusión.
- Ansiedad y agitación.
- Incapacidad para conciliar el sueño y quedarse dormido.
Consejos para los problemas de sueño y de comportamiento
Tener una rutina diaria puede ayudar. El hecho de tranquilizar con calma y dar señales para orientar a la persona con demencia también ayuda por la tarde y cerca de la hora de acostarse. Trate de hacer que se acueste a la misma hora todas las noches.
Realizar actividades tranquilas al final del día y antes de acostarse puede ayudar a las personas con demencia a dormir mejor en la noche. Si ellas están activas durante el día, estas actividades tranquilas pueden cansarlas y hacer que puedan dormir mejor.
Evite los ruidos fuertes y la actividad por la noche en la casa para que la persona no se despierte una vez que esté dormida.
No sujete a una persona con demencia cuando esté en la cama. Si está usando una cama de hospital con barandas en la casa, subir dichas barandas puede ayudar a impedir que la persona deambule por la noche.
Siempre hable con el médico de la persona antes de darle pastillas para dormir compradas en farmacias. Muchas ayudas para dormir pueden empeorar la confusión.
Si la persona con demencia tiene alucinaciones (ve cosas que no existen):
- Trate de disminuir los estímulos a su alrededor. Ayúdeles a evitar las cosas con colores brillantes o patrones llamativos.
- Verifique que haya suficiente luz de manera que no se presenten sombras en el cuarto, pero procure que los cuartos no estén tan luminosos como para que haya resplandor.
- Ayúdales a evitar películas o programas de televisión que sean violentos o cargados de acción.
Lleve a la persona a lugares en donde pueda movilizarse y ejercitarse durante el día, como los centros comerciales.
Si la persona con demencia tiene un arranque de ira, trate de no tocarla ni sujetarla. Haga esto únicamente si es necesario por motivos de seguridad. De ser posible, trate de permanecer calmado y distráigala durante los arranques de ira. No tome su comportamiento como algo personal.
Trate de impedir que la persona se lastime si empieza a deambular.
Además, trate de mantener la casa de la persona libre de estrés.
- Mantenga la iluminación baja, pero no tanto como para que haya sombras.
- Retire los espejos o cúbrelos.
- No use ampolletas descubiertas.[5]
Apolipoproteína E
La apolipoproteína E (APOE), es una molécula de la familia de apoproteínas y el principal componente de las apoproteínas en los quilomicrones. Tiene afinidad por un receptor específico que se encuentra en los hepatocitos y otras células del organismo. El defecto en la producción de APOE causa un trastorno lipídico llamado disbetalipoproteinemia, en la que la se eleva considerablemente concentración de colesterol y triglicéridos en sangre. La APOE es sintetizada por un gen que se encuentra en el cromosoma 19.[6]
Características
La apolipoproteína E es una proteína con 299 aminoácidos de largo y transporta lipoproteínas, vitaminas liposolubles y colesterol hacia el sistema linfático y luego a la sangre. Es sintetizada principalmente en el hígado, aunque se ha encontrado también en otros tejidos, como el cerebro, riñón y el bazo. En el sistema nervioso, los tipos de células que no son neuronas, mayormente los astrocitos y la microglía, son los principales productores de APOE, mientras que muchas neuronas tienden a expresar los receptores de la APOE. De esos receptores, hasta ahora se han identificado siete de ellos entre mamíferos, los cuales son parte de una familia de genes de receptores de lipoproteínas de baja densidad y gozan de conservación evolucionaria.
Genética
El gen de la APOE, cuyas siglas tienen letras en minúsculas, ApoE, está localizado en el cromosoma 19, en un aglomerado con la apolipoproteína C1 y la apolipoproteína C2. El gen ApoE consta de cuatro exones y tres intrones, con un total de 3597 pares de bases.
El gen es pleomórfico, con tres alelos principales, ApoE2, ApoE3 y ApoE4, que traducen tres isoformas de la proteína: una proteína ApoE-ε3 normal, ApoE-ε2 y ApoE-ε4 disfuncionales. Estas isoformas difieren una de la otra solo por un aminoácido sustituido en las posiciones 112 y 158, sin embargo tienen consecuencias fisiológicas profundas.
- E2 se asocia con un desorden genético llamado hiperlipoproteinemia tipo III, así como con un aumento o una disminución del riesgo de ateroesclerosis.
- E4 está implicada con ateroesclerosis, la enfermedad de Alzheimer y desarrollo cognitivo inadecuado.
ApoE es uno de los genes diana del receptor X del hígado, un receptor nuclear que juega un papel en la regulación del metabolismo de colesterol, ácidos grasos y la homeostasis de la glucosa.
Función
APOE2[7] es esencial para el catabolismo de las lipoproteínas ricas en triglicéridos. Por ello, las APOE han sido reconocidas por su importancia en el metabolismo de las lipoproteínas y su papel en la enfermedad cardiovascular. Recientemente se ha estado estudiado a las APOE en diversos procesos biológicos no asociados al transporte de las lipoproteínas, incluyendo la enfermedad de Alzheimer, las rutas de regulación inmunológicas y en la cognición. Los neonatos con lesiones y/o defectos cerebrales quienes también tienen anormalidades en el gen ApoE, pueden tener un mayor riesgo de parálisis cerebral. Los defectos en la APOE resultan en una disbetalipoproteinemia familiar o hiperlipoproteinemia tipo III, en el que la incapacidad de eliminar adecuadamente a los quilomicrones, VLDL y remanentes de la LDL, causan un incremento continuo de colesterol y triglicéridos en sangre.
Enfermedad de Alzheimer
La APOE-ε4 ha estado involucrada en una mayor sensibilidad a contraer la enfermedad de Alzheimer.[8] Un 40-65% de los pacientes con Alzheimer tienen al menos una copia del alelo 4, aunque hay otros factores involucrados ya que al menos una tercera parte de los pacientes con Alzheimer son ApoE4 negativos y algunas personas que tienen los dos alelos en un estado homocigoto y no desarrollan la enfermedad de Alzheimer. Otro gen, el GAB2, puede tener algún rol en el riesgo de contraer Alzheimer.[9] Hay evidencias de que el tener los dos alelos confiera protección en contra del Alzheimer
De modo que el genotipo de mayor riesgo para desarrollar la enfermedad de Alzheimer y a una temprana edad es la ApoE 4,4. El genotipo ApoE 3,4 está a un elevado riesgo, mas no tan alto como los homocigotos para la ApoE 4. El genotipo ApoE 3,3 está considerado como un riesgo normal, es decir, ni mayor ni menor que la población control. El genotipo ApoE 2,3 es considerado protector, es decir confiere un menor riesgo de contraer Alzheimer. Es interesante de notar que aquellos con una copia del alelo 2 y del alelo 4, es decir, ApoE 2,4 tienen un riesgo igual a los del ApoE 3,3 o similar al resto de la población.
Longevidad
Estudios realizados específicamente con personas de edad avanzada (nonagenarios y centenarios) han mostrado que el alelo ApoE4, promotor de ateroesclerosis prematura y asociado a EA, es menos frecuente que en controles mientras la frecuencia del alelo ApoE2, asociado a los tipos III y IV de hiperlipidemia se encuentra aumentada de forma significativa. En base a estos resultados se ha sugerido que el alelo ApoE4 está relacionado con la mortalidad precoz y el alelo ApoE2 con la longevidad. De especial interés es el genotipo ApoE 2,3 por estar asociado a un menor riesgo cardiovascular y encontrarse presente en el 30% de los pacientes centenarios y en el 23% de los nonagenarios. En ciertas poblaciones danesas húngaras (Transilvania) y españolas (Tierra de Campos y costa levantina) los portadores de este genotipo tienen esperanzas de vida que superan 20 años las de sus vecinos.[10]
Apolipoproteína E4 y alzheimer
Fuente del articulo: biomodel.uah.es/apo-e4.
La apoE4 es el principal factor genético de riesgo de alzheimer, el 60-80% de los pacientes con enfermedad de Alzheimer (EA) tienen al menos un alelo apoE4, la apoE2 el menor y la apoE3 un riesgo intermedio.
Los aminoácidos que marcan las diferencias entre las variantes de la apoE4 son los 112 y 158:
- ApoE2: 112 = Cys; 158 = Cys.
- ApoE3: 112 = Cys; 158 = Arg.
- ApoE4: 112 = Arg; 158 = Arg.
En la apoE3, que es la forma más frecuente, la Arg158 forma un puente salino con el Asp154. En la apoE2 la falta de Arg158 impide la formación de ese puente salino con el Asp154 (aunque se forma otro entre Arg150 y Asp154) y esto afecta a la región de unión con el receptor. En la apoE4, la presencia de la Arg112 hace que la cadena lateral de la Arg61 del dominio N-terminal se salga de la hélice y pueda interaccionar electrostáticamente con el Glu255 del extremo C-terminal; esto afecta a la región de unión a lípidos al generar una estructura más compacta de la proteína.

La Arg112 de la apoE4 tiene dos propiedades clave, permite la interacción de dominios de la proteína y le confiere una menor estabilidad proteica. Probablemente, la apoE4 forma una estructura parcialmente plegada, intermediario reactivo o "glóbulo fundido" más fácilmente que las otras isoformas; este hecho es importante porque las proteínas menos estables forman intermediarios reactivos que se asocian con distintos procesos fisiopatológicos que incluyen interacciones intradominios alteradas, aumento en la unión a lípidos y a membranas, alteraciones en las membranas, translocaciones a través de la membrana y mayor susceptibilidad a la proteólisis.
Durante su vida y en mayor medida con la edad, las neuronas deben ser remodeladas y reparadas para mantener las conexiones sinaptodendríticas; la apoE participa en estos procesos. Esta proteína se expresa en distintos tipos celulares del sistema nervioso central (SNC) incluyendo los astrocitos y algunas neuronas. También hay apoE en el líquido cefalorraquídeo en forma de pequeñas partículas similares a HDL o discos de fosfolípidos que transportan lípidos, incluyendo colesterol, a sitios dañados para facilitar su reparación. Las formas apoE2 y 3 son más efectivas en el mantenimiento y reparación normales de las células que la apoE4 debido a sus diferentes características.
Las neuronas sintetizan apoE en respuesta a daños pero en esta apoE, los 27 aá del C-terminal pueden ser eliminados por una serín proteasa parecida a la quimotripsina específica de neuronas y los fragmentos que se generan son perjudiciales para el proceso de reparación. Debido a su conformación única (por la interacción entre dominios) la apoE4 es más susceptible que la apoE3 a esta proteólisis. En el cerebro de pacientes con EA y en ratones transgénicos que expresan la apoE en neuronas del SNC se encuentran fragmentos truncados en el C-terminal. La apoE4(1-272) es tóxica para las neuronas y produce cambios neurodegenerativos y aparición de estructuras neurofibrilares similares a ovillos. La neurotoxicidad se correlaciona con la capacidad de los fragmentos de apoE de entrar en el citosol e interaccionar con citoesqueleto y mitocondrias provocando alteraciones en su función.
Los fragmentos truncados del C-terminal de la apoE también estimulan la fosforilación de Tau (proteínas del sistema nervioso asociadas a microtúbulos que permiten su ensamblaje y estabilidad) y las formas hiperfosforiladas de esta proteína contribuyen a la formación de ovillos neurofibrilares característicos de la EA. Además, la apoE4 también contribuye a la neuropatología de la EA modulando la síntesis y la eliminación del péptido ß-amiloide.
Por todas estas razones, la apoE puede ser un blanco contra el que dirigir acciones terapéuticas para contrarrestar la EA y otros procesos neurodegenerativos. Se buscan moléculas pequeñas correctoras de estructura, que bloqueen la interacción entre dominios de la apoE4 y eliminen sus efectos dañinos. Otros abordajes buscan inhibidores de proteasas, para impedir la formación de los fragmentos neurotóxicos de la apoE4, y protectores mitocondriales, para proteger a la mitocondria de los efectos dañinos de los fragmentos de la apoE4.[11]
Reserva cognitiva

El proceso de envejecimiento lleva implícitas unas serie de pérdidas: se pierde masa muscular, se pierde fuerza, se pierde agilidad y también se pierden otra serie de facultades relacionadas con las funciones cerebrales, entre otras cosas. Pero, como pasa con todo, si se trabaja para prevenirlo, todas estas pérdidas son menores. La reserva cognitiva es un concepto que encaja precisamente aquí, y que suele salir a colación cuando se habla de demencia y de la enfermedad de Alzheimer.
Seguro que has oído decir que la realización de actividades intelectuales es muy importante y recomendable durante el proceso de envejecimiento, y que es muy interesante que la gente mayor aprende cosas nuevas, haga ejercicio, juegue a las cartas, etc.
La reserva cognitiva y su papel en el deterioro cerebral
La reserva cognitiva es la capacidad cognitiva e intelectual que una persona ha logrado acumular a lo largo de su vida mediante sus conocimientos culturales, estudios académicos, participación en actividades intelectuales y de esparcimiento (como la lectura, la escritura, el aprendizaje idiomas, el ajedrez, los juegos de mesa, etc.)l así como de su participación en actividades lúdicas y deportivas para potenciar su psicomotricidad. También influyen mucho las capacidades innatas y los factores genéticos.
Sin embargo, aunque una reserva cognitiva alta actúa como factor protector o preventivo contra los síntomas de la demencia, no puede detener la patología neurodegenerativa que subyace a la enfermedad de Alzheimer. Esto se debe a que el proceso neurodegenerativo de dicha enfermedad progresa independientemente de la educación y de los logros intelectuales. Por otra parte, cuando la patología se vuelve muy severa ya no hay sustrato suficiente que evite la sintomatología de la demencia. La reserva cognitiva potencia la plasticidad y conectividad de las redes neuronales, ya que una persona que ha ejercitado durante su vida sus capacidades cognitivas ha acostumbrado a su sistema nervioso a adaptarse a los cambios y a usar circuitos neuronales alternativos cuando algún circuito queda dañado. Por ello, las personas con alta capacidad intelectual retardan la evidencia de una demencia neurodegenerativa, potenciando y usando vías neuronales alternativas cuando la vía principal ha resultado significativamente deteriorada.
Recomendaciones: Winter is coming
No he podido reprimir la tentación de usar el lema de la Casa Stark, de Juego de Tronos (no me puedo creer que esté aclarando este punto). Como diría esta gente, el invierno se acerca. Vamos, que hay que ir haciendo acopio de provisiones para cuando lleguen los malos tiempos, y no conviene dejarlo para el último momento, no siendo que nos despistemos tomando el sol y el invierno llegue antes de tiempo o sin que nos demos cuenta.
En otras palabras: Está muy poner a la mente a trabajar cuando se llega a la tercera edad, pero la mente debería estar trabajando a tope siempre. Dejarlo para última hora no es buena idea. Es como ahorrar para la jubilación: cuando antes empieces, más dinero tendrás cuando llegue el momento.
Como ya hemos visto, en el caso del Alzheimer, tener una buena reserva cognitiva puede ayudar a prevenir o retrasar los efectos de la demencia, pero no a frenarlos. Por eso es mejor empezar cuanto antes, que nos coja desprevenidos.[12]
Pastilla para evitar la demencia causada por la conmoción cerebral
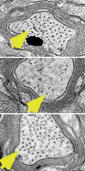
Una nueva investigación abre un posible camino hacia un fármaco que prevenga los daños progresivos y que podría ser útil contra el Alzheimer
Las traumáticas lesiones cerebrales llevan a la alteración de las estructuras de andamiaje dentro de las neuronas (los puntos negros señalados por las flechas amarillas), como se observa en los cerebros de ratones lesionados que recibieron un placebo (la imagen central).

Un tratamiento experimental ayuda a reestablecer la estructura y función cerebral normal en ratones que han sufrido graves conmociones cerebrales, y podría llevarnos a un fármaco que haría lo mismo en humanos, según una nueva investigación científica.
Los cerebros de las personas que padecen una encefalopatía traumática crónica (CTE, por sus siglas en inglés), una enfermedad neurodegenerativa progresiva que afecta a boxeadores y jugadores de fútbol americano con un historial de recibir fuertes golpes repetitivos en la cabeza, se caracterizan por los nudos fibrosos de una Proteína llamada Tau. Se desconoce cómo las lesiones cerebrales traumáticas provocan la formación de estos nudos, que también se encuentran en los cerebros de las personas que padecen la enfermedad de Alzheimer.

Los investigadores que han identificado un precursor de los nudos – una malformación de tau que aparece en los cerebros de ratones poco después de recibir un golpe en la cabeza – y han demostrado que puede ser eliminada con una proteína, llamada anticuerpo, que se adhiere a la malformación de tau y la marca para que sea destruida por el mecanismo del propio cuerpo que elimina proteínas claramente dañadas o superfluas.
En ratones que han sufrido graves y traumáticas lesiones cerebrales como las que sufren con frecuencia los soldados después de una explosión o los deportistas después de recibir un golpe en la cabeza, el tratamiento previene la neurodegeneración y ayuda a restaurar su función normal. Esto sugiere que la tau malformada es "un precursor principal de enfermedades" después de las traumáticas lesiones cerebrales, según afirman los investigadores, y representa un fármaco objetivo prometedor. La investigación fue financiada por la Asociación Nacional de Jugadores de la Liga de Fútbol Americano, los Institutos Nacionales de la Salud y la Asociación para el Alzheimer.
Aunque los cerebros de los individuos que sufren de CTE están llenos de nudos de tau, hasta ahora no ha estado claro si esta "taupatía" es la causa o la consecuencia de la neurodegeneración traumática, explica Kun Ping Lu, un profesor de medicina de la Universidad de Harvard (EEUU). Dice que estos resultados confirman que representan la causa.
Normalmente, la proteína tau es importante para el correcto funcionamiento neuronal. El estrés sufrido por el cerebro hace que la estructura de la proteína adopte dos formas distintas. Una forma es necesaria para el funcionamiento cerebral normal. La otra es un "maleante" malformado que provoca la alteración de la función neuronal que se extiende de forma progresiva por el cerebro y causa demencia y la pérdida de otras funciones cerebrales importantes, y está predispuesta a la agregación y a los enredos, explica Lu.
Junto con sus compañeros, Lu desarrolló anticuerpos que se adhieren únicamente a las proteínas tau normales y malformadas, y las utiliza para estudiar sus niveles relativos en los cerebros de jugadores de fútbol americano y veteranos militares ya fallecidos que sufrían de CTE. Estos cerebros contenían grandes cantidades de la versión malformada de tau, mientras que no se observaban en cerebros sanos.
Para determinar cuándo aparece la proteína dañina, los investigadores simularon lesiones cerebrales traumáticas tanto deportivas como de naturaleza militar en ratones. Tanto las lesiones cerebrales graves como las leves y repetitivas llevaron a niveles persistentemente altos de la malformación de tau, que apareció tan pronto como 12 horas después de sufrir la lesión. Lu dice que han observado que los altos niveles de tau malformada permanecen en el cerebro durante muchos meses después de producirse la lesión.
Después de tratar ratones con graves lesiones durante dos meses, los animales mostraron un comportamiento de toma mínima de riesgos, mientras que los ratones que no recibieron el tratamiento mostraron una clara tendencia a tomar riesgos, un sello distintivo de la CTE que probablemente proviene de la neurodegeneración en zonas del cerebro importantes para la toma de decisiones de alto nivel.
Lu dice que el objetivo a corto plazo es el desarrollo de una prueba diagnóstica basada en los anticuerpos que podría detectar niveles dañinos de malformaciones de tau después de una lesión cerebral, quizás mediante la detección de los anticuerpos en sangre. Más allá de eso, la meta será la "humanización" del anticuerpo de ratones, un proceso bastante establecido, según afirma, que podría conseguirse en los próximos dos años. El resultado podría ser un fármaco que no sólo detenga el daño cerebral y prevenga la CTE después de sufrir una traumática lesión cerebral, pero que podría también hacer frente a patologías relacionadas con la proteína tau que caracterizan la enfermedad de Alzheimer además de otros trastornos neurodegenerativos, concluye.
Identifican qué origina el mal de Alzheimer
La pérdida de conexiones neuronales dentro del cerebro se origina debido al funcionamiento del sistema inmunitario, revela el estudio del Instituto Infantil de Boston, EE.UU., publicado en la revista 'Science'[13]. El hallazgo también sugiere que esta destrucción de las sinapsis, responsables de la memoria y el aprendizaje, puede aparecer antes de la formación de las placas amiloides que interrumpen los procesos cognitivos.

Las sinapsis son los espacios entre las neuronas que permiten su interactuación. Durante nuestra infancia y la adolescencia ocurre la eliminación natural de unas sinapsis débiles, que se cambian por las más necesarias.
Este proceso se lleva a cabo por el sistema inmunitario mediante las células llamadas 'microglías'. No obstante, antes de que las microglías eliminen las sinapsis innecesarias, estas son etiquetadas como tales por la proteína C1q.
Este mecanismo natural de eliminación de las conexiones neuronales llevó a los científicos a la conclusión que la proteína C1q podría estar implicada también en el proceso de destrucción de las sinapsis durante el desarrollo del mal de Alzheimer. Para confirmar o descartar la hipótesis, los investigadores pusieron en el cerebro de tres ratones la sustancia beta amiloide, de la que se forman las placas que eliminan las sinapsis.
Al cerebro del primer ratón de este ensayo clínico le dejaron producir la proteína C1q, mientras que al segundo le 'silenciaron' genéticamente su funcionamiento y al tercero, le bloquearon la producción del C1q a través de un fármaco experimental. Como resultado, en el cerebro del primer ratón se notó la eliminación extensa de las sinapsis, mientras que las conexiones neuronales de los restantes ratones quedaron intactas.
"Esto nos mostró que la C1q y la beta-amiloide estaban trabajando juntas en el mismo camino: la C1q es necesaria para que la beta-amiloide cause este daño", dijo la autora del estudio, Beth Stevens. De este modo, se ha descubierto la sustancia básica para el inicio de la destrucción de las sinapsis y, además, los científicos ya tienen un fármaco que lo puede contrarrestar: "la C1q parece ser un buen blanco", concluyó Stevens. [14]
LMTX
Un nuevo fármaco contra la enfermedad de Alzheimer no ha logrado frenar el deterioro cognitivo de los pacientes como se esperaba que lo hiciera, pero ha llamado la atención de los investigadores que aguardaban con impaciencia las conclusiones de su primer ensayo clínico de fase 3 a gran escala. Si bien el medicamento no cumplió sus principales objetivos, el fármaco funcionó para un subgrupo de pacientes —el 15% de los participantes del estudio— que lo tomaron como única terapia contra la enfermedad, sin combinarlo con otros ya existentes.
Los resultados se presentaron ayer en la Conferencia de la Asociación Internacional de Alzheimer, en Toronto (Canadá), y aunque fueron decepcionantes, también dejaron abierta una puerta a la esperanza.
“Lo interesante del estudio es que puede haber un fármaco más que algún día llegue a la clínica”, explica a Sinc Jesús Ávila, científico del Centro de Biología Molecular Severo Ochoa y uno de los principales expertos en las bases moleculares del alzhéimer en España. Por su parte, Daniel Alcolea, investigador de la Unidad de Memoria en el servicio de Neurología del Hospital de la Santa Creu i Sant Pau,en Barcelona, coincide en que cualquier resultado favorable debe ser motivo de esperanza, pero aclara que “con los resultados de este estudio no se puede afirmar que el fármaco sea eficaz, por el momento”.
El medicamento, llamado LMTX y desarrollado por TauRx Therapeutics, es el primero creado para deshacer los ovillos de proteína tau que se forman en el cerebro, y que son característicos de la enfermedad. En el grupo de individuos que recibieron LMTX como único tratamiento se ralentizó la progresión de la enfermedad, medida a través de tres tipos de evaluaciones: cognitiva, funcional y del grado de atrofia cerebral, detectada con resonancia magnética.
Sin embargo, el otro 85% de los participantes del ensayo, que había recibido otro fármaco adicional ya existente contra la enfermedad, no obtuvo resultados positivos. La compañía planea solicitar la aprobación del fármaco como monoterapia.
Científicos independientes de este estudio se muestran prudentes a la hora de valorar el nuevo logro. Es el caso de Alberto Lleó, jefe de la Unidad de Memoria del Servicio de Neurología del Hospital de Sant Pau, en Barcelona, que se encuentra en el congreso. “Los resultados son esperanzadores, pero realmente hay que tener en cuenta que solo se observan en monoterapia y que el estudio en global hay que tomarlo como negativo”, comenta a Sinc por correo electrónico desde Toronto. Ávila también resalta los puntos flacos del ensayo: “Es raro que no sea efectivo en pacientes que hayan probado otros fármacos, ahí parece estar el principal problema”.
Nadie entiende los porqués
El ensayo clínico de fase 3 –la etapa de experimentación previa a que se legalice su comercialización en farmacias– contó con 891 pacientes con alzhéimer en grado leve o moderado. A los participantes les asignó de manera aleatoria o bien una dosis baja del fármaco, o bien una dosis alta, o un placebo. De todos ellos, solo quienes probaron el LMTX y no habían tomado otros fármacos contra el alzhéimer mantuvieron prácticamente intactas sus funciones cognitivas durante los quince meses que duró el ensayo, según explicó en el congreso Serge Gauthier, director de la Unidad de Investigación del alzhéimer en la Universidad McGill e investigador principal del estudio. “Como médico veo cada día a pacientes de alzhéimer, a sus familias y sus cuidadores, y comparto su desesperada necesidad de un producto terapéutico, pero por ahora solo tenemos tratamientos que palían los síntomas. En un campo plagado de fracasos de otros candidatos a fármacos, y donde no ha habido ningún avance terapéutico práctico en más de una década, estoy entusiasmado con la promesa que representa LMTX para estos pacientes”, añade Gauthier en un comunicado.
Para Claude Wischik, profesor de Psiquiatría en la Universidad de Aberdeen (Escocia) y cofundador de TauRx, “tal vez lo más importante de estos resultados es que apoyan la investigación de los cúmulos de proteína tau como vía de desarrollo de fármacos muy prometedores”.
Sin embargo, el propio Wischick reconoce que no son capaces de comprender la razón por la que LMTX solo funciona cuando se toma solo y no es efectivo en combinación con los tratamientos disponibles para la enfermedad de Alzheimer. Esa es una de las principales razones que despiertan el escepticismo de otros especialistas, reacios a difundir mensajes de entusiasmo, como publica el periódico estadounidense New York Times.
Una enfermedad que avanza en silencio
La mayor parte de los ensayos que se han llevado a cabo contra la enfermedad de Alzheimer atacaban la acumulación de proteína beta-amiloide, que forma placas en el cerebro de los pacientes. Ninguno de esos productos ha tenido éxito. Los fármacos que se han comercializado son solo paliativos: reducen de manera temporal los síntomas, sin frenar el mecanismo subyacente que provoca la enfermedad.
Por eso algunas empresas farmacéuticas han comenzado a investigar la acción de tau, otra proteína que, cuando se comporta de manera anormal, forma agregados en el cerebro que se expanden y aniquilan a las neuronas. LMTX es un antiagregante de tau cuyo mecanismo de acción consiste en deshacer los ovillos neurofibrilares que genera esta proteína. Como explica Ávila, el problema reside en cómo progresa el alzhéimer y cómo se ha abordado. “Primero aparece la patología amiloide; después, la patología de tau, y finalmente la muerte neuronal. En sus primeras fases, el alzhéimer es silencioso, no presenta síntomas. Por eso se han dado los tratamientos para la amiloide demasiado tarde, cuando ya se había acumulado y lo que había que tratar era la tau. Igualmente, si empiezas a hacer un tratamiento antitau en fase de muerte neuronal masiva, tampoco sirve. Es una enfermedad difícil de curar, lo efectivo sería prevenir con tratamientos iniciados en fases asintomáticas. Cuando alguien va al neurólogo porque ha perdido memoria, ya es tarde”.
Por otra parte, como explica Alcolea, los depósitos de beta-amiloide en el cerebro no se asocian necesariamente con el grado de deterioro cognitivo; es decir, que el hecho de tener más depósito de amiloide no implica un mayor deterioro. “Sin embargo, los depósitos de tau aumentan de manera progresiva y paralela al empeoramiento de los síntomas”, indica. “Es probable que en el futuro sea necesaria una combinación de tratamientos que estén dirigidos a distintas vías para tratar la enfermedad”, añade.
A la espera de un segundo ensayo que aclare los resultados
LMTX se deriva del azul de metileno, un fármaco que ya se utiliza para otros propósitos en medicina y en química. Un anterior ensayo clínico frente al alzhéimer, en 2008, tuvo también resultados confusos puesto que una sola dosis retrasaba el deterioro cognitivo mientras que dosis más elevadas no tenían afecto alguno. Según la empresa, se debía a un defecto en la formulación que se ha corregido con el nuevo LMTX.
Según los críticos, sería necesario un ensayo a gran escala que evaluara los efectos del fármaco en pacientes que no hayan tomado otros productos contra el alzhéimer, algo que portavoces de la compañía aseguran tener planeado. “Definitivamente hay que esperar al segundo ensayo que está en marcha con este fármaco para tener una respuesta más concluyente”, opina Lleó.
El quiz de la cuestión reside en que el estudio no estaba diseñado para el subgrupo de pacientes que no toma ningún otro tratamiento para la enfermedad, y por eso los científicos quieren estar seguros de que el resultado positivo no es fruto de un sesgo de la muestra.
Así lo argumenta Alcolea: “Podría darse la posibilidad de que estos pacientes fueran los que ya estaban más estables o en fases más leves al inicio del estudio y este fuera el motivo por el que no tomaban tratamiento. Esto podría explicar que su evolución fuera mejor que la del resto. Otra posibilidad es que haya algún tipo de interferencia entre medicamentos”. El estudio actual no permite todavía contestar estas preguntas.
“De todas maneras, esto no curaría el alzhéimer sino que retrasaría sus efectos. No es la panacea, pero es de lo poco que tenemos”, concluye Ávila.[15]
LMTX®
TauRx's second-generation tau aggregation inhibitor (TAI), offers a major advance over existing marketed treatments for Alzheimer’s, which only transiently address the symptoms and cannot slow disease progression. LMTX® acts by reducing levels of aggregated or misfolded tau proteins, which are associated with the progressive neurodegeneration which is the hallmark of Alzheimer’s disease. LMTX® shares the same active ingredient (methylthioninium [MT]) and mode of action as rember®, TauRx’s first generation TAI, but is structurally distinct and designed to have improved bioavailability and tolerability.
Phase 2 clinical trials of rember® showed a 90% reduction in the rate of Alzheimer’s progression over 2 years. These results provided the first clinical demonstration that a new therapy targeting protein aggregation could dramatically reduce the rate of progression of this deadly disease.
The Phase 2 clinical trial results reported by Professor Claude Wischik and colleagues at the University of Aberdeen suggest that a treatment attacking tau aggregation pathology could delay the progression of cognitive decline in mild tomoderate Alzheimer’s.
TauRx has now completed two large Phase 3 clinical trials of LMTX® in Alzheimer’s disease.
An abstract from the first of its two Phase 3 trials in Alzheimer’s disease was presented at the 2016 Alzheimer's Association International Conference (AAIC) in Toronto, Canada on 27th July and results are expected to be published in August.
The second study, in patients with mild Alzheimer’s disease, has only recently completed and it is expected that results will be published and presented in Q4 2016.
Only when all Phase 3 study results have been analysed and discussed with regulatory authorities will TauRx be able to decide on the further development of LMTX® as a treatment for mild or moderate Alzheimer’s disease.[16]
Pérdida de memoria por edad es peor en hombres
Un estudio reciente encuentra que casi todo el mundo sufre de lapsos en la memoria a medida que envejece, y que los hombres son más vulnerables a los fallos de la memoria que las mujeres.
El estudio también reportó que las habilidades de memoria y el volumen cerebral de las personas por lo general declinan con la edad. Y, en un giro sorprendente, esto parece tener poco que ver con la acumulación de "placas" cerebrales que son la característica de la enfermedad de Alzheimer, sugiere el estudio.Los investigadores señalaron que sus hallazgos desafían una opinión prevalente sobre el cerebro que envejece.
Los expertos han especulado que cuando los adultos mayores comienzan a tener lapsos de memoria, quizá sea señal de Alzheimer, y que probablemente se relacione con los aglutinamientos anómalos de una proteína llamada beta amiloidea que se acumula en el cerebro.
"Pero nuestros hallazgos sugieren que la memoria en realidad declina en casi todo el mundo, y bien antes de que haya alguna deposición de amiloidea en el cerebro", señaló el Dr. Clifford Jack, investigador de la Clínica Mayo en Rochester, Minnesota, que dirigió el estudio.
Los depósitos de beta amiloidea, comúnmente conocidos como placas, siguen siendo una característica de la enfermedad de Alzheimer, señaló Jack. Pero los nuevos hallazgos sugieren que no "inician" el proceso de la enfermedad, sino que ocurren posteriormente.
"Parece haber un efecto profundo del envejecimiento en sí sobre la memoria, independiente de la amiloidea", planteó Jack. "Creemos que la patología [amiloidea] tiende a surgir a una edad más avanzada, acelerando un declive preexistente en la memoria".
Según Jack, eso es una buena noticia. "El declive de la memoria que las personas con frecuencia experimentan a medida que envejecen no es por lo general un indicador de una patología subyacente de Alzheimer", aseguró. "No significa de ninguna forma que la demencia sea inevitable".

Otros investigadores afirmaron que los hallazgos son "muy importantes". "Lo que esto muestra con mucha claridad es que la memoria y el volumen cerebral declinan años antes de que haya algo de amiloidea", dijo el Dr. Charles DeCarli, profesor de neurología de la Universidad de California, en Davis.
El mensaje principal es que el declive mental relacionado con la edad "no es tan sencillo como nos gustaría", comentó DeCarli, que escribió un editorial publicado junto al estudio.
Los resultados se basan en más de 1,200 adultos de un condado de Minnesota. Todos tenían entre 30 y 95 años de edad, y no presentaban síntomas de demencia. Tomaron pruebas estándar de la memoria, y se sometieron a dos tipos de escáner cerebral: una IRM para medir el volumen del hipocampo (una estructura cerebral que tiene que ver con la memoria), y una TEP para buscar la acumulación de amiloidea.
Según Jack, los investigadores solo han contado con una tecnología capaz de ofrecer imágenes de la amiloidea en los últimos años.
Y lo que su equipo encontró fue sorprendente. En general, tanto la memoria como el volumen cerebral declinaron de forma gradual entre los 30 años y mediados de los 60 años de edad. Pero pocas personas mostraron alguna acumulación de amiloidea en ese periodo. No fue más o menos hasta los 70 años cuando hubo un aumento sustancial en la cantidad de personas que tenían resultados "positivos de amiloidea" en las TEP.
Esto fue así en particular entre las personas que portaban la variante genética APOE4, que se vincula con un riesgo de Alzheimer más alto del promedio. Las personas con la variante genética APOE4 comenzaron a mostrar amiloidea a una edad más temprana, y mostraron un aumento más marcado en la acumulación de amiloidea después de los 70.
Pero el estudio también encontró que los portadores del APOE4 no mostraban un declive más grande en la memoria ni en el volumen cerebral. Jack dijo que el hallazgo sobre la memoria fue "un poco sorprendente". Pero anotó que todos los participantes del estudio estaban libres de demencia. Los portadores del APOE4 tienen un riesgo más alto de Alzheimer, pero ante la ausencia de éste, quizá no tengan una peor memoria que las personas que no portan el gen.
En vez de eso, los hombres tenían de forma constante una peor memoria que las mujeres, y (en proporción) un hipocampo más pequeño, a todas las edades, mostraron los hallazgos.
Otros estudios han hallado que a las mujeres les va mejor en las pruebas de memoria, pero Jack dijo que el hallazgo sigue siendo sorprendente. Señaló que "básicamente, esto dice que ser un hombre tiene un efecto mucho mayor en la memoria que ser un portador del APOE4".
Jack sospecha que la tasa más alta en los hombres de factores de riesgo cardiovascular, que se han vinculado cada vez más con el desarrollo de problemas de la memoria, podría ser un motivo de que los hombres tengan una peor memoria que las mujeres. O quizá la hormona estrógeno ofrezca algún factor protector a las mujeres, sugirió.
Antes de que los hombres entren en pánico, DeCarli anotó que la demencia en toda regla no es más común en los hombres que en las mujeres, aunque quizá eso se deba a que las mujeres viven más en general. Entonces, si los depósitos de amiloidea no provocan el declive gradual en la memoria que tantas personas observan, ¿qué lo hace?
Jack apuntó a un culpable posible. Las enfermedades cardiacas, el accidente cerebrovascular y los factores de riesgo de esas afecciones, como la hipertensión y la diabetes. Todos pueden impedir el flujo sanguíneo al cerebro, y pueden hacer que el tejido cerebral se encoja.
DeCarli se mostró de acuerdo, pero dijo que también debe haber otros factores involucrados. Mary Sano, investigadora del Alzheimer en Mount Sinai, en la ciudad de Nueva York, dijo que los hallazgos son "emocionantes".
Gran parte de la investigación que busca la prevención del Alzheimer se ha concentrado en la acumulación de amiloidea, anotó Sano. Pero este estudio sugiere que otras avenidas, incluyendo "intervenciones que se enfoquen en el volumen cerebral", también deben explorarse, planteó.
¿Y cómo se cambia el volumen cerebral?

El ejercicio es una posibilidad. "La investigación ha mostrado que la actividad física podría ralentizar la pérdida de volumen cerebral que sucede con la edad", comentó Sano. Para DeCarli, los hallazgos resaltan todo lo que le falta por aprender a los científicos sobre el cerebro que envejece, y sobre el envejecimiento en general.
"¿Por qué se pone la piel reseca a medida que se envejece?", preguntó. "¿Por qué salen canas? En realidad no sabemos mucho sobre el envejecimiento". Los resultados del estudio aparecen en la edición en línea del 16 de marzo de la revista JAMA Neurology[17].
2024
Descubren que el Alzheimer posee variantes: hallazgo podría ser crucial para desarrollar tratamientos.
12 de enero de 2024: Un grupo internacional de investigadores identificó cinco variantes biológicas distintas del Alzheimer. Al analizar el líquido cefalorraquídeo de más de 400 pacientes, el equipo descubrió que cada uno portaba un conjunto específico de proteínas, indicando su pertenencia a una de las variantes identificadas.
Los resultados fueron publicados en un reciente estudio, en la revista Nature Aging[18]. Dichas variantes identificadas no sólo parecen diferir en cómo afectan al cerebro, sino también en cómo podrían responder a los tratamientos. Esta clasificación es un paso importante hacia la comprensión de las diferencias en la progresión del Alzheimer entre los pacientes, y sugiere la necesidad de enfocar cada variante de manera individualizada. Este enfoque podría ser clave en el desarrollo de tratamientos más efectivos y personalizados.
Descubren cinco variantes del Alzheimer
Este descubrimiento ofrece esperanza para un diagnóstico temprano y la posibilidad de intervenciones que retrasen la aparición de los síntomas de la enfermedad de Alzheimer. Al entender mejor las variaciones específicas en la afectación al cerebro, los investigadores pueden allanar el camino para terapias más precisas y medidas preventivas adaptadas a cada subtipo de esta compleja enfermedad. Los investigadores encontraron que cada subtipo tiene un perfil de riesgo genético distinto y muestra variaciones en los resultados clínicos, los tiempos de supervivencia y los patrones de atrofia cerebral. Por ejemplo, el subtipo caracterizado por hiperplasticidad muestra una respuesta de crecimiento celular excesiva, llevando a la acumulación de proteínas amiloides. Por otro lado, en el subtipo con activación inmune innata, el sistema inmunitario ataca de manera excesiva el tejido cerebral sano.
¿Cómo influye esto en el tratamiento del Alzheimer?
Este hallazgo es crucial, ya que implica que algunos medicamentos podrían ser efectivos únicamente en ciertos tipos de Alzheimer. Los fármacos que se centran en la reducción de amiloides podrían ser beneficiosos para subtipos con una producción elevada de esta proteína, pero podrían ser perjudiciales para aquellos subtipos con una producción disminuida.
Esto podrían ser fundamental para el desarrollo futuro de medicamentos contra el Alzheimer. Si se logra identificar la variante de cada paciente, los ensayos clínicos podrían dirigirse a probar fármacos específicos para cada subtipo. Esto podría mejorar significativamente la eficacia de los tratamientos y abrir nuevas vías para abordar esta compleja enfermedad[19].
Pizarra
El 'test del reloj' permite la detección temprana del alzhéimer y el párkinson
Científicos estadounidenses han desarrollado una nueva prueba que permite diagnosticar deterioros neurológicos como el alzhéimer y el párkinson antes de que se manifiesten en la vida cotidiana.
Un equipo de investigadores del Instituto Tecnológico de Massachusetts (MIT, por sus siglas en inglés) ha renovado la famosa 'prueba del reloj' con un lápiz óptico que manda los dibujos de estos objetos cotidianos hechos por los pacientes a un nuevo 'software' que busca y analiza los errores presentes en la imagen, informa la página web oficial de la universidad. La prueba permite diagnosticar deterioros neurológicos como el alzhéimer y el párkinson antes de manifestarse en la vida cotidiana.
El test tradicional, por su parte, se basaba solo en el tiempo que el paciente se demoraba en dibujar el reloj y su tamaño. De esta forma, un tiempo prolongado era indicativo de la posibilidad del desarrollo de una de estas enfermedades y un reloj de pequeño tamaño servía como evidencia del párkinson.
"Hemos podido extraer miles de rasgos del proceso de dibujo que dan pistas acerca del estado cognitivo de cada sujeto y nuestros algoritmos ayudan a determinar cuáles de ellos llevan a la predicción más fiable", explica uno de los líderes del equipo, William Souillard-Mandar. De acuerdo con el científico, la nueva herramienta es capaz de descifrar las partes dudosas de los dibujos que quedaban invisibles en pruebas analógicas.

Los científicos, por su parte, afirman que actualmente están trabajando en la variante de la prueba más sencilla de utilizar y que en el futuro cercano podría ser aplicada en centros médicos de todo el mundo.
Fuentes y Enlaces de Interés
- Artículo por HealthDay
- Clifford Jack, Jr., M.D., professor, radiology, Mayo Clinic, Rochester, Minn.
- Charles DeCarli, M.D., University of California, Davis, Sacramento, Calif.
- Mary Sano, Ph.D., director, Alzheimer's Disease Research Center, professor, psychiatry, Mount Sinai Icahn School of Medicine, New York City; March 16, 2015, JAMA Neurology, online
- ↑ Nlm.nih.gov/medlineplus/alzheimer
- ↑ Teresa García, David Jay. Fosforilación de tau y enfermedad de Alzheimer (en español). 329Gac Méd Méx Vol.140 No. 3, 2004.
- ↑ VON BERNHARDI M., Rommy. Mecanismos neurobiológicos de la enfermedad de Alzheimer. Rev. chil. neuro-psiquiatr. [online]. jun. 2005, vol.43, no.2 [citado 03 octubre de 2008], p.123-132. Disponible en la World Wide Web: ISSN 0717-9227.
- ↑ GRA MENENDEZ, Silvia; PADRÓN PÉREZ, Noel; LLIBRE RODRÍGUEZ, Juan de Jesús. Péptido beta amiloide, proteína Tau y enfermedad de Alzheimer. Rev Cubana Invest Bioméd [online]. 2002, vol. 21, no. 4 [citado 2008-10-03], pp. 253-261. Disponible en la World Wide Web: ISSN 0864-0300.
- ↑ Knopman DS. Alzheimer's disease and other dementias.In: Goldman L, Schafer AI, eds. Cecil Medicine. 24th ed. Philadelphia, PA: Elsevier Saunders; 2011:chap 409.
- ↑ J. Cacho, et al. Genotipo y fenotipo de la apolipoproteína E en enfermos de Alzheimer en Castilla y León
- ↑ Singh PP, Singh M, Mastana SS (2002). «Genetic variation of apolipoproteins in North Indians». Hum. Biol. 74 (5): 673–82. PMID 12495081
- ↑ Corder EH, Saunders AM, Strittmatter WJ, Schmechel DE, Gaskell PC, Small GW, Roses AD, Haines JL, Pericak-Vance MA (1993). «Gene dose of apolipoprotein E type 4 allele and the risk of Alzheimer's disease in late onset families». Science 261 (5123): 921–3. PMID 8346443
- ↑ Reiman EM, Webster JA, Myers AJ, Hardy J, Dunckley T, Zismann VL, Joshipura KD, Pearson JV, Hu-Lince D, Huentelman MJ, Craig DW, Coon KD, Liang WS, Herbert RH, Beach T, Rohrer KC, Zhao AS, Leung D, Bryden L, Marlowe L, Kaleem M, Mastroeni D, Grover A, Heward CB, Ravid R, Rogers J, Hutton ML, Melquist S, Petersen RC, Alexander GE, Caselli RJ, Kukull W, Papassotiropoulos A, Stephan DA (2007). GAB2 Alleles Modify Alzheimer's Risk in APOE varepsilon4 Carriers 54 (5). pp. 713–720. doi:10.1016/j.neuron.2007.05.022. PMID 17553421
- ↑ Martín-Gil FJ, Ramos-Sánchez MC, Cerón-Fernández AI, Arranz-Peña ML. (2010). «Longevidad y genotipo apoE 2/3 en una familia de Tierra de Campos». Revista Clínica Española. 10 (9): 481–2.
- ↑ biomodel.uah.es/apo-e4.
- ↑ La reserva cognitiva y su papel en el deterioro cerebral
- ↑ scientificamerican/New Clues Show Out-of-Control Synapse Pruning May Underlie Alzheimer's
- ↑ Comunicado del Grupo de Estudio de Conducta y Demencias de la SEN: La Enfermedad de Alzheimer no es contagiosa /15sept 2015
- ↑ agenciasinc.es/Un nuevo fármaco experimental contra el alzhéimer muestra resultados sin precedentes/Cons. 1Ago 2016
- ↑ taurx.com/lmtx for Alzheimers/Cons.1Ago 2016
- ↑ Archneur jamanetwork journal/Cons.19mar 2015
- ↑ Cerebrospinal fluid proteomics in patients with Alzheimer’s disease reveals five molecular subtypes with distinct genetic risk profiles
- ↑ biobiochile/Ciencia y Tecnologia
- Imagen de: Mahley, R.W., Weisgraber, K.H. y Huang, Y. Apolipoprotein E: structure determines function, from atherosclerosis to Alzheimer's disease to AIDS. J Lipid Res. 2009;50 Suppl:S183-8. doi: 10.1194/jlr.R800069-JLR200
- hipocampo/artículos relacionados/25mar 2016
- nature/Men’s brains shrink faster than women’s: what that means for Alzheimer’s
Léase en WikicharliE
- El aluminio y el alzheimer
- Cerebro
- Parkinson
- Demencia con Cuerpos de Lewy
- Mapa del cerebro humano
- Pérdida de memoria por edad es peor en hombres
- Neurona
- Sonda de nanotubos para ver actividad cerebral
- Ondas Cerebrales
- Porque vemos luces cuando nos rascamos los ojos
- Litio
- Qué produce la música en nuestro cerebro
- Trastorno esquizoafectivo
- Cerebro positrónico
